Pz uomo, 85 anni, affetto da patologia neoplastica
Giunge al Dipartimento di Emergenza per riferita ingestione autolesiva di caustici.
Condizioni generali gravi, Paziente agitato e sofferente. Tachipnoico, presenza di segni di sanguinamento del cavo orale. Episodio di ematemesi.
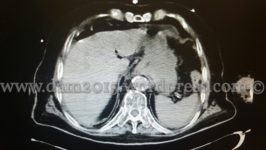
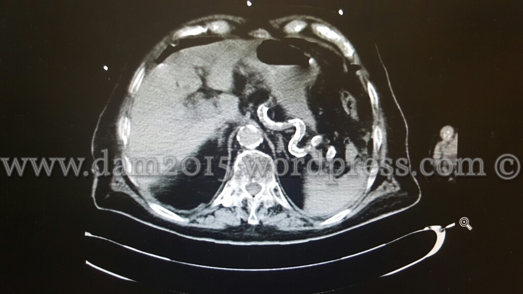
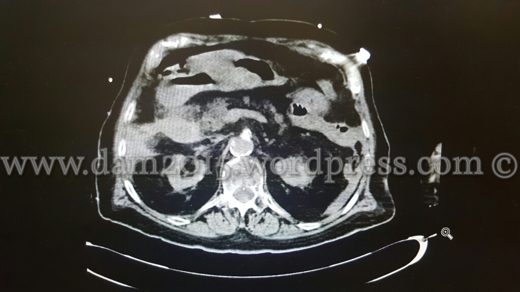
Eseguita TC addome con MDC che mostra aria libera intraperitoneale disposta prevalentemente anteriormente al fegato ed al corpo gastrico, come da perforazione di viscere cavo.
Evidente inoltre marcato ispessimento parietale dell’antro gastrico, della I e II porzione duodenale e del tratto medio-distale dell’esofago (che rimane beante lungo tutto il suo decorso) con edema periviscerale .
Falde di versamento periepatico, tra le anse intestinali, in sede perisplenica e nello scavo pelvico.
Reperto collaterale di marcata calcificazione dei vasi splenici.







Lascia un commento