Pz donna, 56 anni.
Incidente stradale.
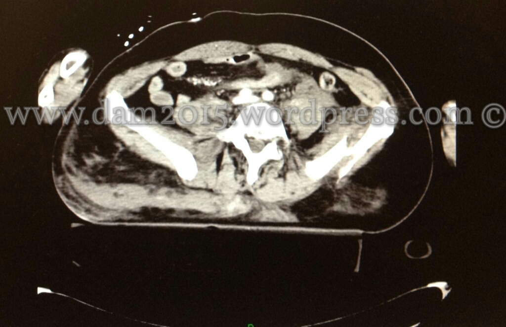
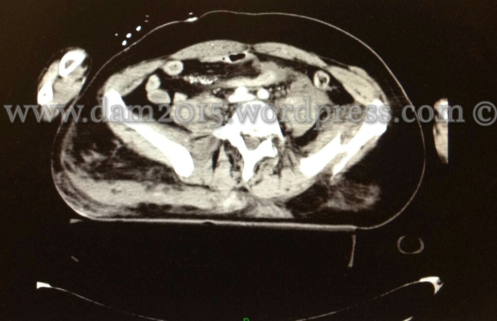
Shock emorragico in fratture multiple del bacino. Emoperitoneo.
Packing pelvico con estensione in senso xifoideo dell’incisura laparotomica mediana.
Emostasi di lesione mesenteriale e aspirazione di raccolte ematiche nei recessi anatomici.











Lascia un commento