Pz donna, 82 anni.
Malattia oncologica in stadio avanzato.
Eseguita RX diretta addome in sola proiezione laterale che mostra falci aeree libere endoaddominali.
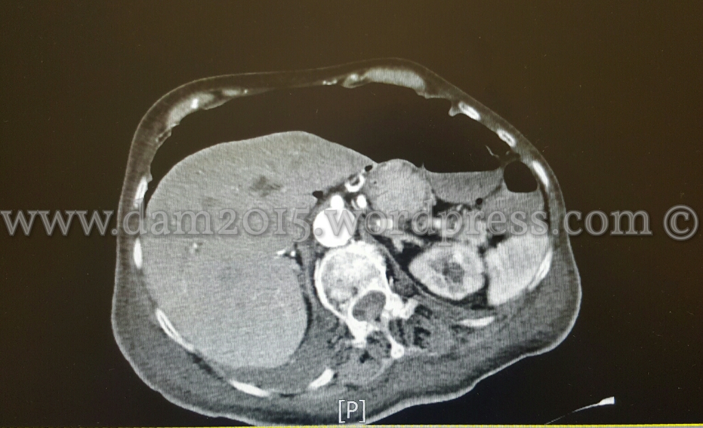
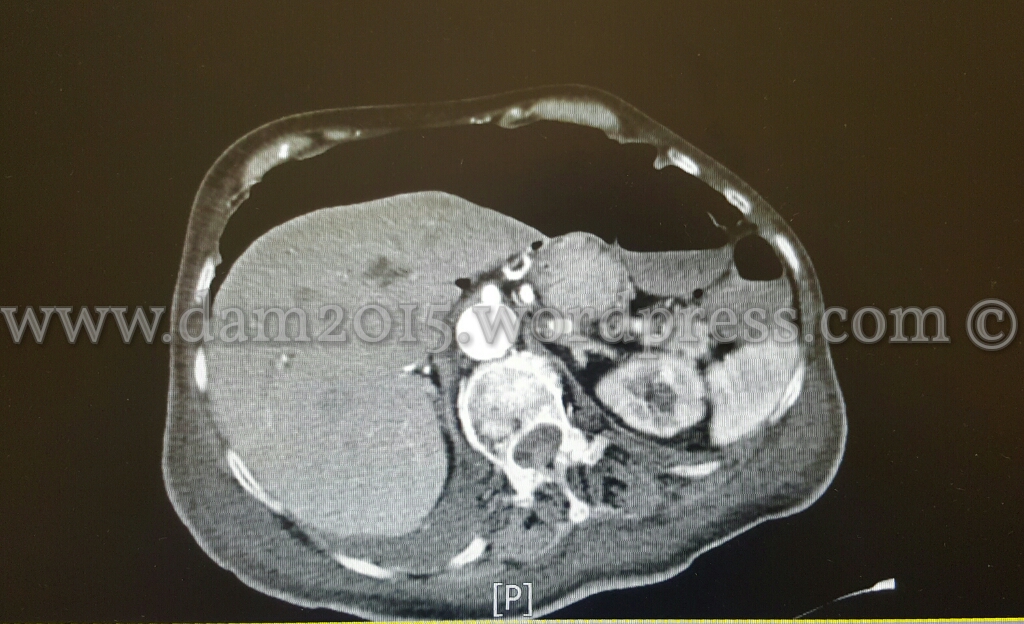
Eseguita TC addome con MDC che documenta abbondante quota di aria libera in sede sottodiaframmatica come da perforazione di viscere cavo (verosimilmente della parete anteriore del cieco).
Confezionamento di ciecostomia su bacchetta.








Lascia un commento