Paziente uomo, 20 anni, caduta accidentale con la bicicletta.
Trauma contusivo diretto dell’impugnatura del manubrio in regione mesogastrica.
Eseguita TC addome che mostrava imbibizione emorragica del tessuto adiposo sottocutaneo della parete addominale in sede mesogastrica e del tessuto adiposo omentale contiguo, peraltro lievemente erniato attraverso la cicatrice ombelicale.
Peggioramento del quadro clinico addominale.
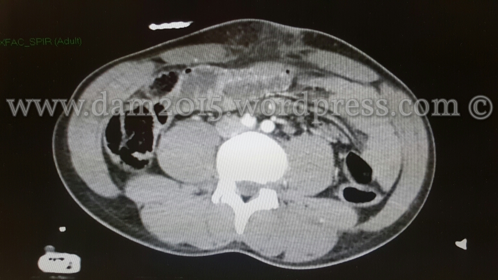
Eseguita nuova TC addome che mostrava incremento dell’imbibizione edematosa-emorragica del tessuto adiposo sottocutaneo e comparsa di marcato ispessimento edematoso delle anse del piccolo intestino ove sembrava apprezzarsi discontinuità della parete intestinale; presenza di bolle di aria libera come per perforazione di viscere cavo.

Effettuato intervento di resezione intestinale con anastomosi termino-terminale.









Lascia un commento