Paziente uomo, 35 anni, con ferita penetrante da arma bianca in fianco sinistro.
Addome acuto, emoperitoneo, aria libera endoperitoneale.
Ferita da punta e taglio di ansa digiunale.

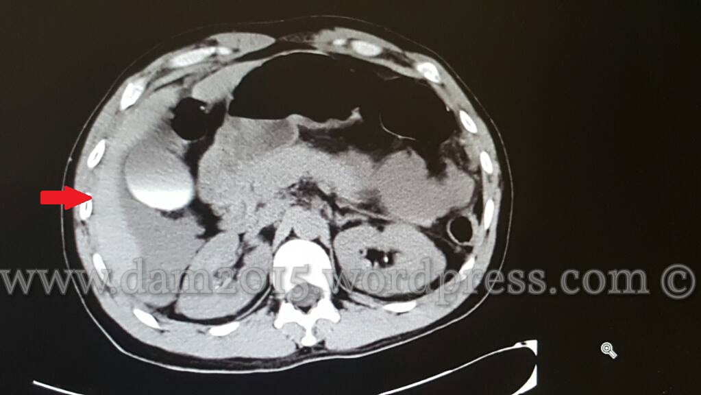
Presenza di bolle d’aria nel contesto del muscolo obliquo dell’addome a livello della soluzione di continuo.

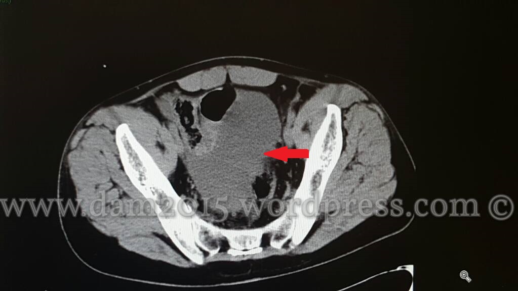
Presenza di aria libera endoaddominale.

Quota fluida di versamento nello scavo pelvico.

Quota di versamento periepatico.
Resezione, anastomosi termino-terminale e posizionamento di drenaggi (in numero di 3) di cui uno fatto fuoriuscire dalla soluzione di continuo traumatica in fianco sinistro.






Pinza Klemmer attraverso soluzione di continuo traumatica per posizionare il drenaggio in doccia parietocolica sn.





Lascia un commento