Pz uomo, 18 anni.
Giunge al nostro dipartimento di Emergenza per dolori addominali e vomito.
Esami ematochimici mostravano modesto rialzo degli indici di flogosi nonostante somministrazione di terapia antibiotica.
Eseguita RX diretta addome che mostrava due piccoli livelli idroaerei in Fossa iliaca Destra.
Eseguita Ecografia addominale che mostrava modesta quota fluida nel Douglas.
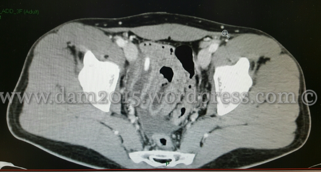
Alla TC con mezzo di contrasto si evidenziava distensione fluida dell’appendice cecale a localizzazione pelvica, nel cui lume si apprezza appendicolita.






Lascia un commento