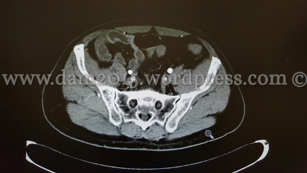
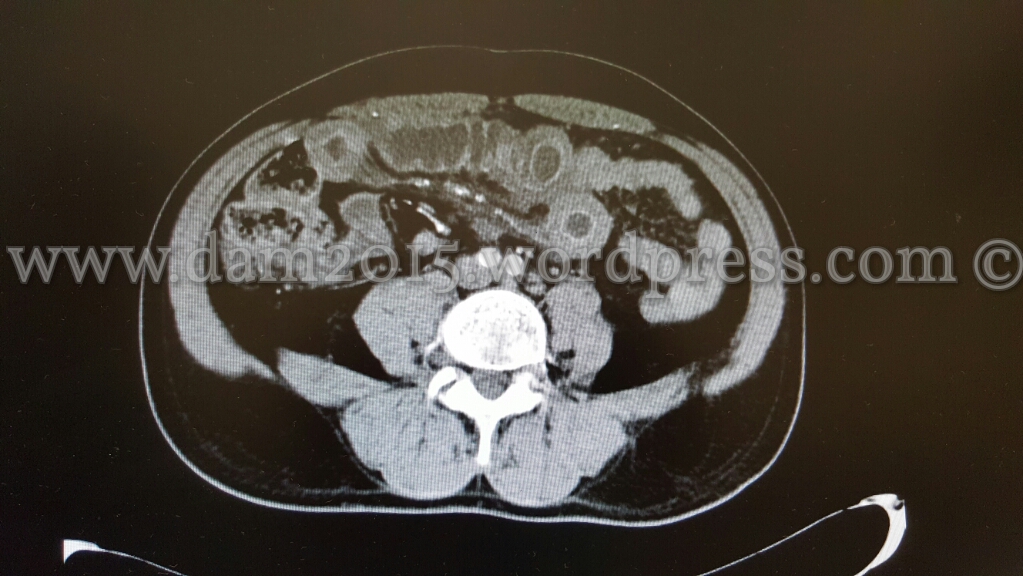
Paziente uomo, 56 anni, affetto da emofilia di tipo A grave.
Giunge in pronto soccorso per dolori addominali.
Eseguita TC addome che mostra ispessimento di alcune anse ideali in sede meso-ipogastrica ed in fossa iliaca destra come per infarcimento ematico.
Dopo MDC si osserva iperemia della mucosa a livello delle anse descritte e ridotta rappresentazione della vascolarizzazione del relativo mesentere, che presenta segni di imbibizione edemigena.
I reperti descritti sono suggestivi per quadro di infarto venoso intestinale.








Lascia un commento